بيانات الإتصال
مدينة نصر 32 ش عطية الصوالحي أمام بوابة 3 سراج مول.
القاهرة الجديدة 215 medical park premier خلف المستشفى الجوي، القاهرة، مصر
dr-aymanelghmrawy@hotmail.com
+202 26702575
+01555995995
اتصل بنا
الرئيسية
من نحن
مركز الدكتور ايمن الغمراوى لزراعة وتجميل الاسنان
الفريق الطبى
قصص النجاح
خدمات كير سمايل
خلع ضرس العقل
علاج جذور الاسنان
زراعة الأسنان
تقويم الأسنان
تبييض الأسنان
القشرة التجميلية
تركيبات الأسنان الثابتة
تصميم الابتسامة
تجميل وعلاج اللثة
التعقيم
نصائح طبية
قبل وبعد
فيديوهات
اتصل بنا
English
الرئيسية
قبل وبعد
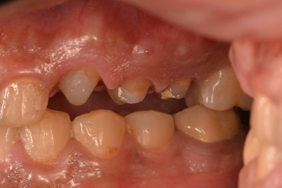
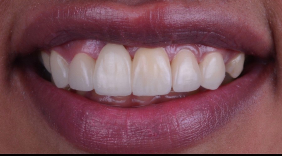
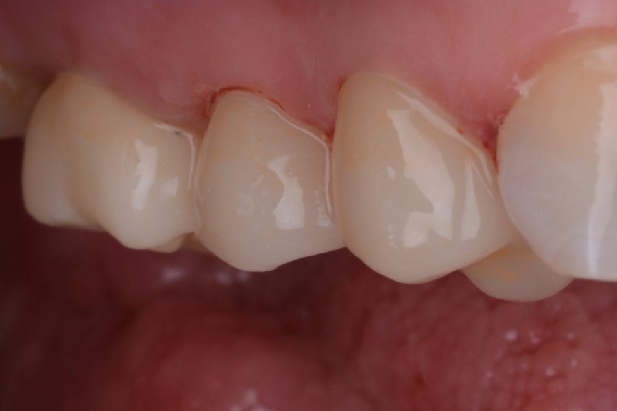
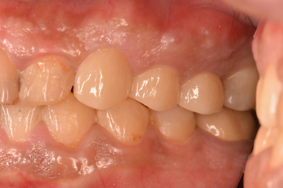
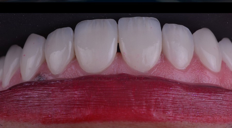
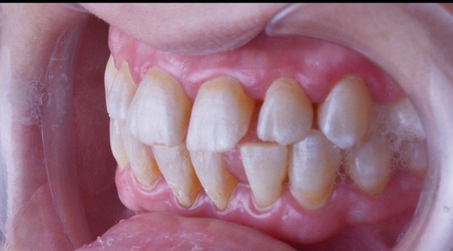
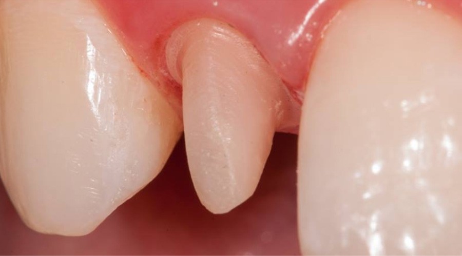
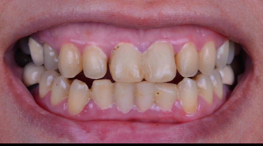
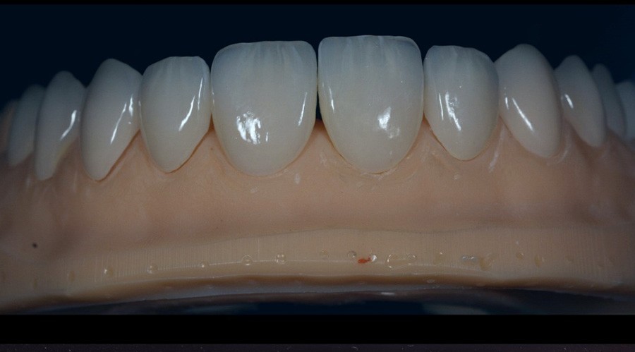
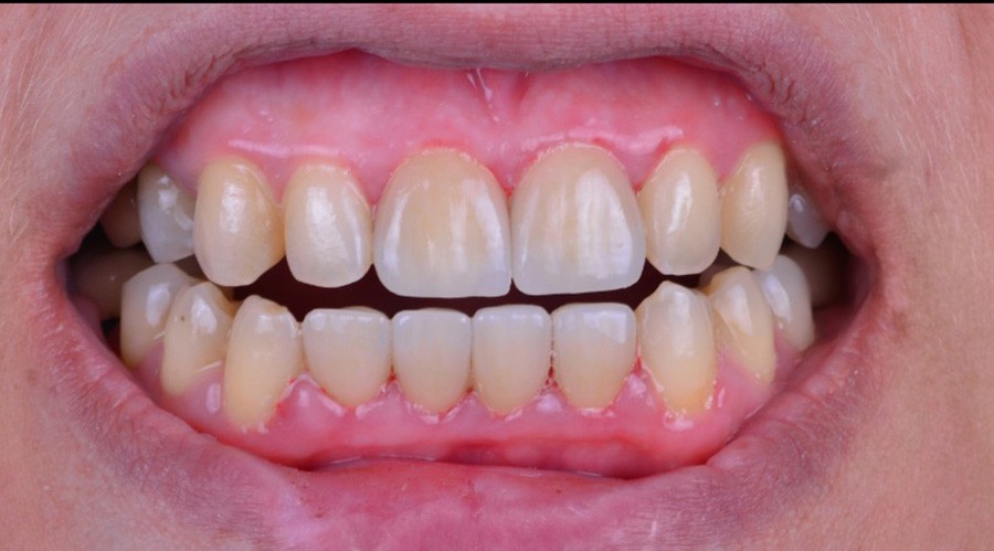
حالات تركيبات اسنان
شارك
https://mail.draymanelghmrawy.com/short5a-link
تم نسخ الرابط المختصر